
He Will Soon Be Here!
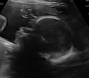
Baby boy on the way! I have a scheduled c-section for 12/10/25.
Patient age: 37
Tubal ligation type: Resection (tied or cut)
Patient hometown: Loganville, Georgia

Baby boy on the way! I have a scheduled c-section for 12/10/25.
Patient age: 37
Tubal ligation type: Resection (tied or cut)
Patient hometown: Loganville, Georgia
A Personal Choice Tubal Reversal Center is in Raleigh, North Carolina and specializes in tubal ligation, Essure, and vasectomy reversal surgery.
Dr. Monteith specializes in helping couples have more beautiful children with reversal surgery and helping women treat abnormal symptoms after their tubes have been tied!
If you would like more information about reversal, including the cost and success rates, then enter your email address below and you will be emailed more information about reversal.
Women who need more advice about reversal are encouraged to join A Personal Choice’s public Facebook group:
Facebook Tubal Reversal Group of A Personal Choice
By joining the group you can communicate with other women who have had successfully reversed their tubal ligation and restored their natural fertility.
We provide a unique surgical experience with personalized attention and one-on-one care. We make every effort to make your surgery less of a process and more of a life’s experience. Please use the buttons below for answers to our frequently asked questions.