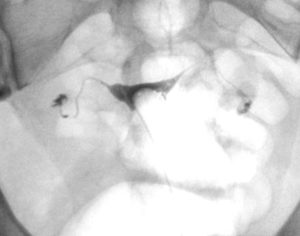
Miscarriage After Tubal Reversal, Tubes Open
Dr. Monteith
My pregnancy ended in early miscarriage, unfortunately.
However, I did have an HSG test done afterwards and both tubes are open!
So we are clear to start trying again, and I just ovulated again, currently I am in the 2 week wait.
Patient age: 35
Tubal ligation type: Coagulation (burned)
Patient hometown: Belleplain, New Jersey
